We are always ready to help you. Call us
For Emergencies Contact: (818) 340-3062
Posted On February 3, 2026

Which dentist in Los Angeles is best for full-mouth reconstruction?

brightersmile 0 comments
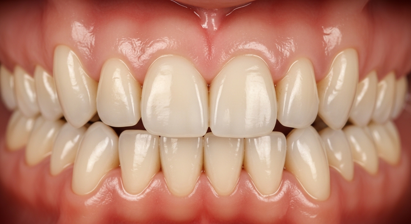
full-mouth reconstruction

When your oral health has reached a point where simple fillings are no longer enough, you begin a very specific search: looking for the best full-mouth reconstruction dentist in Los Angeles. This isn’t just about “fixing teeth”; it is about oral rehabilitation—restoring the harmony between your bite, your jaw muscles, and your aesthetic appearance.

Whether you are visiting from Encino, Sherman Oaks, or right here in Woodland Hills, a full-mouth restoration is a life-changing journey. As a dentist in Los Angeles who has spent years perfecting the art of the “total smile makeover,” I know that patients aren’t just looking for a doctor; they are looking for a specialist who can rebuild their confidence. If you’ve been searching for a dentist near me capable of handling complex cases, you’ve come to the right place.

What is Full-Mouth Reconstruction?

Full-mouth reconstruction (or rehabilitation) refers to a series of procedures designed to repair or replace every tooth in a patient’s mouth. It combines the science of restorative dentistry with the artistry of cosmetic dentistry.

Typically, this process is necessary for patients with:

  • Severely worn-down teeth due to long-term acid erosion or grinding (bruxism).
  • Multiple missing teeth.
  • Advanced periodontal (gum) disease.
  • Persistent jaw pain or “collapsed” bites.

Why Experience Matters for Complex Restorations

You wouldn’t ask a general contractor to design a skyscraper; similarly, you need a dentist in Woodland Hills with extensive experience in prosthodontics and oral surgery to manage a full-mouth case.

When searching for the best full-mouth reconstruction dentist in Los Angeles, look for a provider who understands “occlusion”—the way your teeth meet. If the bite isn’t perfectly calibrated, even the most beautiful porcelain veneers or dental implants will fail prematurely. At our practice, we prioritize functional longevity as much as we do aesthetic beauty.

https://dr-ahdout.com/dental-implants/

The Technology Behind a 2026 Smile Transformation

In 2026, we no longer rely on guesswork. To be the best full-mouth reconstruction dentist in Los Angeles, an office must utilize advanced digital workflows.

At my Woodland Hills office, we use 3D Cone Beam Computed Tomography (CBCT) and digital impressions to map your mouth with sub-millimeter precision. This allows us to perform “Digital Smile Design,” where you can actually see a preview of your final result before we even begin. This level of technology is what separates a standard dentist from a reconstructive expert.

Customized Care: From Woodland Hills to Los Angeles

While our office is located in the heart of the San Fernando Valley, we treat patients from all over Los Angeles, Calabasas, and Tarzana. We understand that local patients want world-class care without the hassle of driving to Beverly Hills.

By choosing a dentist in Woodland Hills who specializes in reconstruction, you get the benefit of a local, welcoming environment combined with the elite clinical results found in the city’s most famous dental hubs.

https://dr-ahdout.com/cosmetic-dentist/

How to Choose Your Reconstructive Specialist

If you are currently browsing for a dentist near me to handle a full-mouth case, I recommend asking three specific questions during your consultation:

  1. Can I see before-and-after photos of similar cases? A true expert will have a vast portfolio of full-mouth transformations.
  2. What technology do you use for bite alignment? Ensure they aren’t just focusing on the look of the teeth.
  3. Do you offer sedation options? Full-mouth cases often involve longer appointments; a sedation dentist can make the process much more comfortable.

Common Questions About Full-Mouth Reconstruction

Q: How long does a full-mouth reconstruction take? A: Because these cases are highly personalized, the timeline can vary from a few months to over a year, depending on whether bone grafting or dental implants are required.

Q: Is the process painful? A: Not at all. As a dentist in Los Angeles focused on patient comfort, we use advanced local anesthetics and sedation dentistry to ensure you are completely relaxed throughout every phase of your treatment.

Q: Will insurance pay for a full-mouth reconstruction? A: While insurance often considers the cosmetic portions “elective,” many restorative aspects (like crowns, bridges, and surgery) are covered. Our Woodland Hills team works diligently to maximize your benefits.

Q: Can I just get dentures instead? A: While dentures are an option, they don’t prevent bone loss in the jaw. Reconstruction using implants is the only way to maintain your facial structure and provide the chewing power of natural teeth.

Restore Your Smile and Your Confidence

If you are ready to stop hiding your smile and start living without dental pain, it’s time to consult with an expert. Whether you are in Woodland Hills, West Hills, or Hidden Hills, my team and I are here to guide you through every step of your restoration.

Visit our website to schedule your comprehensive reconstruction consultation or call us today at 818-340-3062.

Click here to find our Woodland Hills office on Google Maps

Dr. Ahdout
22116 Ventura Blvd, Woodland Hills, CA 91364, United States
818-340-3062

Leave a Reply

Your email address will not be published. Required fields are marked *

Related Post

Transform Your Smile with a Cosmetic Dentist in Woodland Hills, California

Transforming your smile with a cosmetic dentist in Woodland Hills, California, is an exciting journey…

How Your Dentist Can Help with Preventive Dental Care: Top Tips for a Healthy Smile

Maintaining a healthy smile is essential for overall well-being, and preventive dental care plays a…

Family Dentistry Services Near Me in Woodland Hills, California

Welcome to our expert guide on family dentistry services in Woodland Hills, California. As a…