
The Role of General Dentistry in Promoting Preventive Care and Long-Term Oral Health
Maintaining a healthy smile throughout life requires more than just brushing and flossing. General dentistry plays a crucial role in

Maintaining a healthy smile throughout life requires more than just brushing and flossing. General dentistry plays a crucial role in

Dental emergencies can occur when you least expect them, leaving you in sudden pain or discomfort. Knowing what an emergency

Missing teeth can affect more than just your appearance—they can also impact your confidence, oral health, and ability to eat

Improving your smile is often about more than just dental health—it’s also about aesthetics. That’s where a cosmetic dentist comes

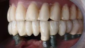
When it comes to restoring your smile, understanding All on 6 dental implants is essential for patients who want a

Understanding the top benefits of sedation dentistry for a stress-free dental visit can change how you approach your oral care.

Understanding how to choose the right implant dentist for successful dental implants is essential if you want a treatment that

Understanding how general dentistry supports effective preventive dental care is essential for maintaining long-term oral health. General dentists provide comprehensive

Understanding an emergency dentist overview: when and why you need urgent dental care is crucial for protecting your oral health

Dental emergencies can happen without warning, causing pain, discomfort, and anxiety. Understanding why knowing an emergency dentist matters for your